Odontopediatria e Odontologia Estética
atendimento humanizado, preciso e próximo de você!


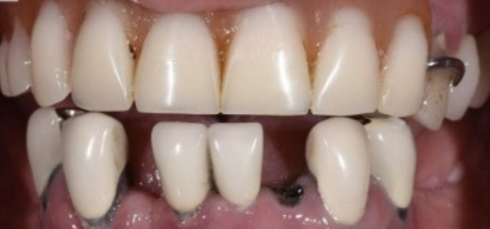
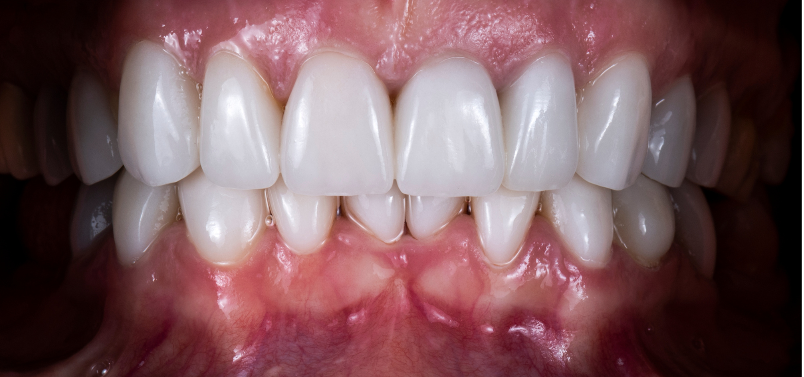
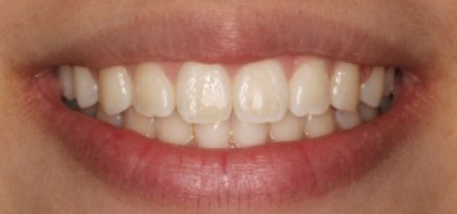
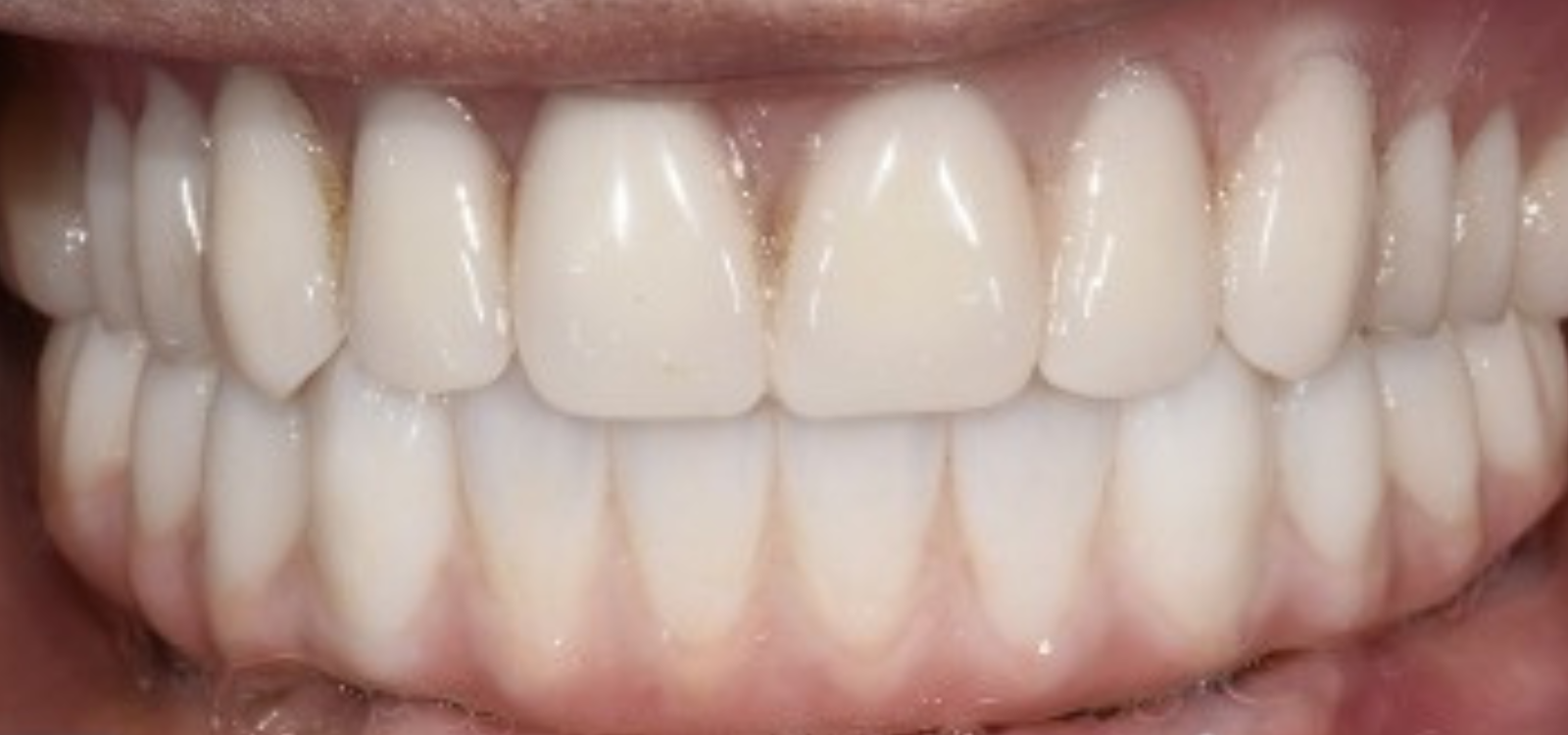
Facetas de Porcelana: Corrigem formato, cor e espaçamento dos dentes, proporcionando um sorriso mais harmônico, branco e sofisticado.

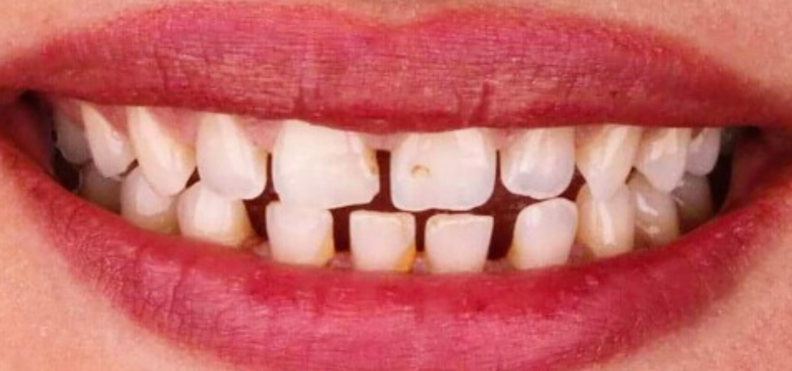
Ortodontia: Corrige o alinhamento dos dentes e da mordida, melhorando a função e a estética do sorriso com resultados naturais e funcionais.

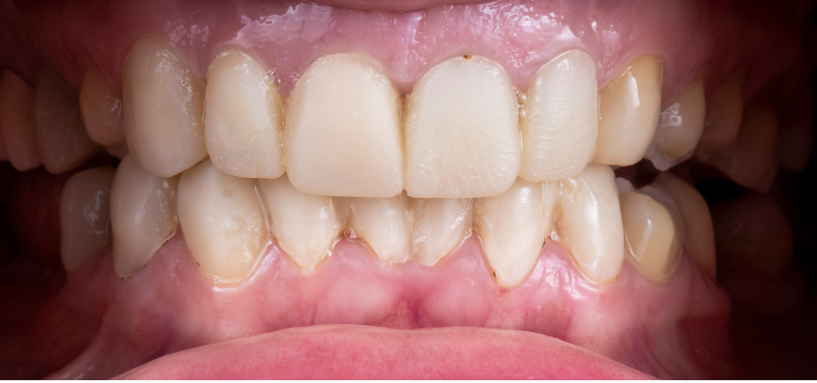
Clareamento Dental: Tratamento que remove manchas e pigmentações, devolvendo o brilho natural e a tonalidade branca dos dentes.
Sou dentista formada pela Universidade Estadual de Londrina (UEL) e especialista em Odontopediatria pela USP – Bauru.
Ao longo da minha trajetória, construí vínculos duradouros com pacientes que me acompanham desde a infância até a vida adulta.
Meu propósito vai além de transformar sorrisos: busco unir saúde, estética e acolhimento, oferecendo um atendimento humano, claro e cuidadoso em cada detalhe.
Sou dentista formada pela Universidade Estadual de Londrina (UEL) e especialista em Odontopediatria pela USP – Bauru.
Ao longo da minha trajetória, construí vínculos duradouros com pacientes que me acompanham desde a infância até a vida adulta.
Meu propósito vai além de transformar sorrisos: busco unir saúde, estética e acolhimento, oferecendo um atendimento humano, claro e cuidadoso em cada detalhe.

Tratamento que remove manchas e pigmentações, devolvendo luminosidade aos dentes.

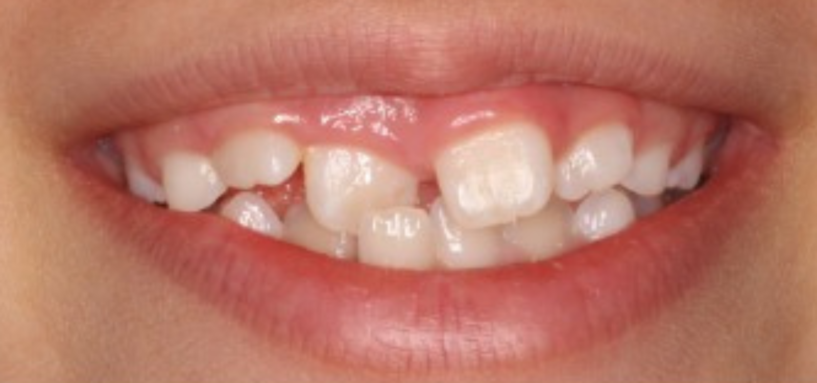
Atendimento especializado e acolhedor para crianças, cuidando da saúde bucal desde cedo.

Tratam dentes comprometidos por cáries ou fraturas, devolvendo resistência e estética ao sorriso.

Restauram a função mastigatória e estética, substituindo os dentes de forma segura e confortável.

Facetas em porcelana ou resina para corrigir o formato, cor e pequenas imperfeições.

Mantêm a saúde bucal em dia, prevenindo cáries, tártaro e problemas gengivais.

Alinha os dentes e corrige a mordida, devolvendo estética, saúde bucal e confiança ao sorrir.

Preserva dentes comprometidos, eliminando dor e infecções e mantém a função mastigatória.

Substitui dentes perdidos com próteses fixas ou removíveis, garantindo equilíbrio e beleza.

Cuida da saúde bucal infantil, prevenindo cáries, tártaro e irritações gengivais.

Realça o rosto, melhora assimetrias e trata rugas, proporcionando equilíbrio e beleza.